RaDenD | Radiología Dental Digital

Imágenes precisas para un diagnóstico confiable

Apoyamos el diagnóstico odontológico con exámenes de rayos X rápidos, precisos, de alta calidad y a precios accesibles.

"Somos el mejor aliado de tu SONRISA y un amigo para tu BOLSILLO"

Equipamiento moderno de rayos X dental RaDenD

Tecnología de
Última Generación

Atención Ágil

Alta Resolución

Apoyo Clínico

Seguridad

Nuestros Exámenes

Tecnología digital 2D de alta resolución para detectar caries, evaluar estructuras y planificar tratamientos.

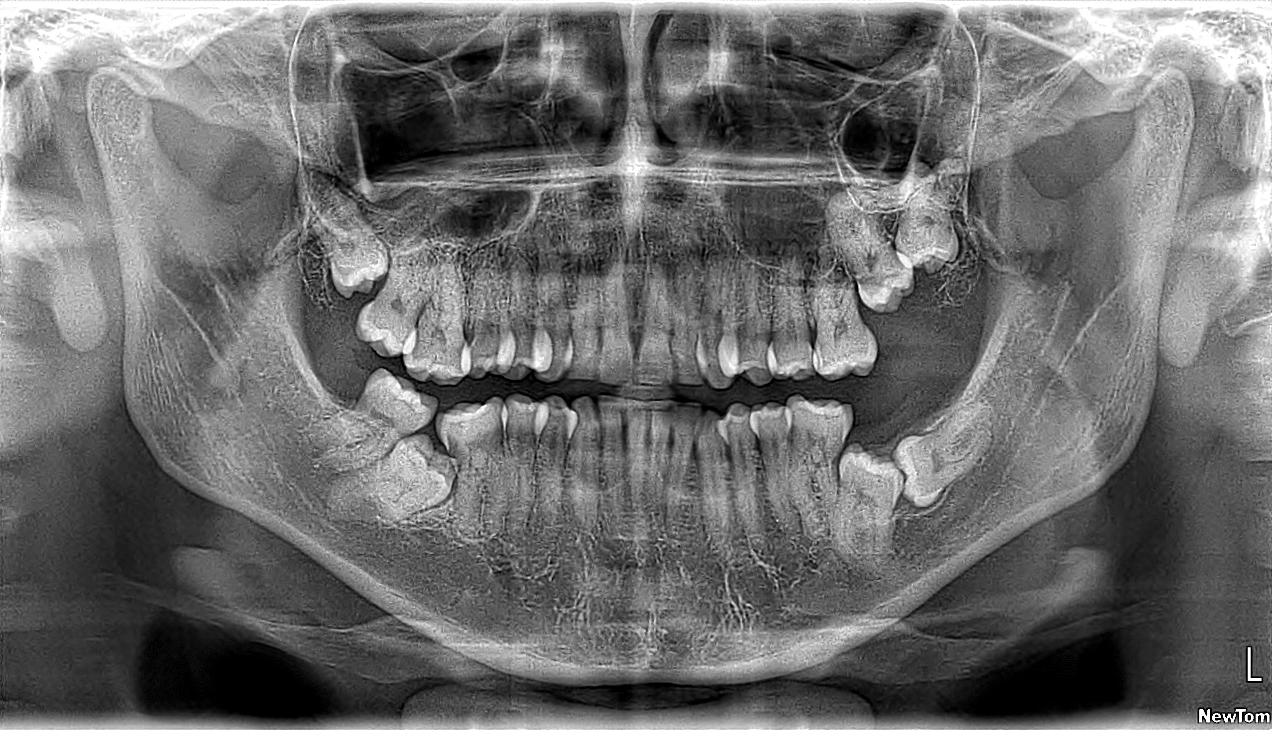
Radiografía Panorámica Dental
EXAMEN INTEGRAL

Radiografía Panorámica

Permite tener una visión general de todas las estructuras dentales y maxilofaciales en una imagen plana (2D), especial para evaluar evolución dentaria, patología de los maxilares e indispensable en ortodoncia.

Agendar este examen
Radiografía Bitewing

Bitewing Bilateral

Propósito principal detección de caries: Es la herramienta "Gold standard" para encontrar caries que no son visibles a simple vista, especialmente en áreas de contacto (premolares y molares) y visualizar desajustes cervicales.

Análisis Cefalométrico

Análisis Cefalométrico

El análisis cefalométrico permite medir y analizar las estructuras óseas del cráneo. Ofrece datos precisos sobre la relación entre los dientes, maxilares y la base del cráneo, esencial para definir planes de tratamiento.

Radiografía Periapical

Radiografía Periapical

Imagen detallada de un diente específico y su entorno (raíz y hueso). Permite diagnosticar problemas ocultos como caries profundas, abscesos, pérdida ósea y evaluar el éxito de endodoncias.

Radiografía ATM 2D

Estudio ATM 2D

Radiografía extra oral de la articulación temporomandibular en cuatro cortes (boca abierta/cerrada). Permite observar alteraciones si siente que la mandíbula "salta", truena o se atora.

Telerradiografía Frontal

Telerradiografía Frontal

Evaluación profunda de asimetrías faciales. Vital para ortodoncia, cirugía maxilofacial y estudios de estructuras frontales.

Telerradiografía Lateral

Telerradiografía Lateral

Evalúa el perfil del paciente, sus tejidos blandos y óseos. Es habitual en estudios de ortodoncia, patologías en cráneo, mandíbula, cervicales y cirugía ortognática.

Información Para Pacientes

¿Cómo es tomarse un examen en RaDenD?

Pacientes de RaDenD sonriendo

En RaDenD ¡¡Verte sonreír nos motiva!!

Rápido y Cómodo

Nuestros exámenes son extremadamente rápidos (5 a 10 minutos), indoloros y no requieren preparación compleja.

Sin Preparación

Solo deberá retirar joyas, aros, collares, piercings de la cara/cuello y prótesis dentales removibles antes de la toma.

Entrega Digital Rápida

Imágenes enviadas al instante. Informes radiológicos en máximo 48 hrs hábiles directos a su correo y al de su dentista.

¡ATENCIÓN!

Todos nuestros exámenes son seguros con equipos de última generación. No obstante,

si usted está EMBARAZADA o sospecha estarlo:

DEBE AVISAR OBLIGATORIAMENTE

a nuestro personal técnico ANTES de realizar cualquier examen radiográfico.

Su seguridad y la de su bebé es nuestra prioridad.

Horarios y Ubicación

En RaDenD

Brindamos acceso a exámenes radiológicos dentales de calidad, a un costo accesible y en horarios cómodos, permitiendo que los pacientes puedan asistir después de su jornada laboral o acompañar a sus hijos.

Creemos que el acceso a un examen radiográfico no debe ser un impedimento para mejorar la salud bucal. Nuestro propósito es reducir barreras económicas y de tiempo.

Horarios

Lunes a Viernes

09:00 - 20:30 hrs

*Pensado para después del trabajo

Sábados

10:00 - 14:00 hrs

Urgencias domingos/festivos (diurno) previa coordinación.

Encuéntranos

Av. Los Álamos 3028 A, Box 3

Alto Hospicio, Tarapacá

Abrir en Google Maps

Preguntas Frecuentes

Resolvemos tus dudas para que asistas con total tranquilidad a tu examen.

¿Para qué sirven las radiografías dentales?

👉 Permiten ver lo que no se observa a simple vista.

📌 Ayudan a detectar:

🦷 Caries ocultas 🦷 Infecciones 🦷 Problemas óseos 🦷 Dientes retenidos

✔️ Apoyo clave para un buen diagnóstico

¿Duelen los rayos X dentales?

👉 No, las radiografías dentales NO duelen.

📌 Solo debes quedarte quieto unos segundos mientras tomamos la imagen.

✔️ No pinchazos ✔️ No calor ✔️ No vibraciones

⏱️ Es rápido, seguro y sin molestias.

¿Por qué sacarse aros, collares o cadenas?

👉 Porque el metal interfiere con la radiografía.

📌 Los objetos metálicos:

⚠️ Bloquean el paso de los rayos X

⚠️ Ocultan dientes o hueso

⚠️ Pueden alterar el diagnóstico

✔️ Mejor imagen ✔️ Diagnóstico preciso

¿Las radiografías dentales son peligrosas?

👉 No, son seguras cuando se realizan correctamente.

📌 Utilizamos:

✔️ Equipos digitales

✔️ Dosis mínima de radiación

✔️ Protocolos de seguridad

💡 La radiación es muy baja, incluso menor que muchas actividades diarias.

¿Cuánto tiempo dura una radiografía dental?

👉 Solo unos segundos.

⏱️ El examen completo toma entre 1 y 10 minutos, dependiendo del tipo de RX.

✔️ Rápido ✔️ Eficiente ✔️ Sin dolor

¿Puedo hacerme una RX si estoy embarazada?

👉 Debes informarnos antes del examen.

📌 En general:

⚠️ Se evitan radiografías durante el embarazo

⚠️ Solo se realizan si el odontólogo lo considera estrictamente necesario

⚠️ Con medidas de protección especiales

Lo que dicen nuestros pacientes

5.0 en Google
C

Carlos M.

Google Review

"Excelente atención, muy rápidos en la toma de la radiografía y los resultados me llegaron directo a mi correo y al de mi dentista. El lugar impecable y precios muy accesibles."

V

Valentina R.

Google Review

"El personal es súper amable. Me explicaron todo el procedimiento. Fui después del trabajo porque sus horarios son geniales. Tienen equipos muy modernos."

D

Daniel S.

Google Review

"Llevé a mi hijo para una panorámica y tuvieron mucha paciencia. El valor del examen es justo y no tuvimos que esperar nada de tiempo. Lo mejor de la región."